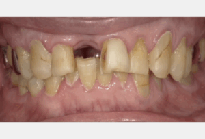
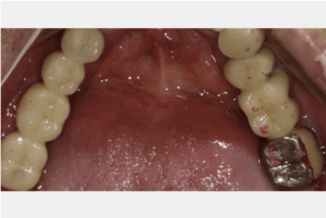
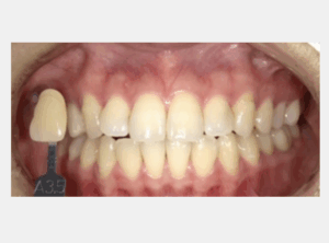
インプラント治療1
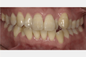
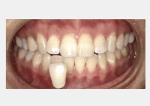
Before
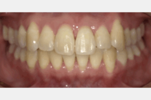
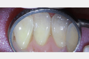
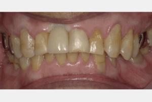
After
| 年齢 | 70代 |
|---|---|
| 性別 | 男性 |
| 主訴 |
| 年齢 | 70代 |
|---|---|
| 性別 | 男性 |
| 主訴 |
| 年齢 | |
|---|---|
| 性別 | |
| 主訴 |
| 年齢 | |
|---|---|
| 性別 | |
| 主訴 |
| 年齢 | 30,000円+(税) |
|---|---|
| 性別 | 女性 |
| 主訴 |
| 年齢 | |
|---|---|
| 性別 | |
| 主訴 |
| 年齢 | |
|---|---|
| 性別 | |
| 主訴 |
| 年齢 | 20代 |
|---|---|
| 性別 | 女性 |
| 主訴 |
| 年齢 | 20代後半 |
|---|---|
| 性別 | |
| 主訴 |
| 年齢 | 50代 |
|---|---|
| 性別 | 女性 |
| 主訴 |
| 年齢 | 60代 |
|---|---|
| 性別 | 女性 |
| 主訴 |