茨城県取手市の総合歯科医院で美しい笑顔を

症例一覧

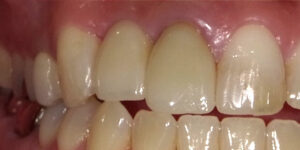
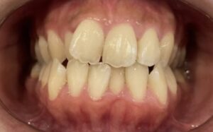
インビザライン3

治療前

Before

治療後

After

年齢
性別
主訴

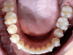
歯間のクリーニング

治療前

Before

治療後

After

年齢
性別
主訴 歯と歯の間に汚れが 停滞してしまい、歯石となっていた

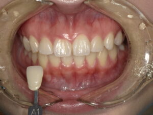
ホームホワイトニング

治療前

Before

治療後

After

年齢 20代
性別 女性
主訴 ホームホワイトニングのご紹介です✨
ホワイトニングは2種類あり、歯科医院で行う
オフィスホワイトニングと患者様がご自宅で行う
ホームホワイトニングがあります(*^_^*)
今回は、ホームホワイトニングになります。

インビザライン2

治療前

Before

治療後

After

年齢 20代
性別 女性
主訴

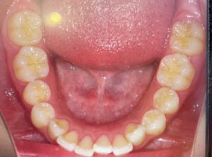
歯石除去3

治療前

Before

治療後

After

年齢 20代
性別 女性
主訴 歯石除去を行ったのでご紹介いたします!!

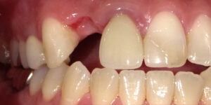
インプラント治療2

治療前

Before

治療後

After

年齢 70代
性別 女性
主訴

虫歯治療3

治療前

Before

治療後

After

年齢
性別
主訴 インレー(銀の詰め物)の下が虫歯になっている

CTG(結合組織移植術)

治療前

Before

治療後

After

年齢
性別
主訴
ご予約 ➝ RESERVATION お電話 ➝ TEL