茨城県取手市の総合歯科医院で美しい笑顔を

症例一覧

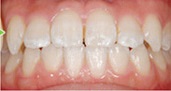
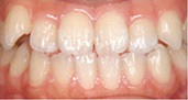
矯正 症例 取り外し装置(FKO)

治療前

Before

治療後

After

年齢 12歳
性別 女性
主訴 前歯をひっこめたい

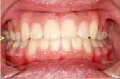
矯正 症例 上顎全員ワイヤー、下顎臼歯ワイヤー

治療前

Before

治療後

After

年齢 23歳
性別 女性
主訴 八重歯、下の奥歯が倒れているのが気になる

矯正 症例 上顎のみ全額ワイヤー

治療前

Before

治療後

After

年齢 17歳
性別 男性
主訴 八重歯、全体の歯並びが気になる

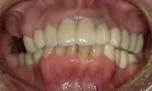
オールセラミックブリッジ

治療前

Before

治療後

After

年齢 70代
性別 女性
主訴

歯の着色を取る(ステイン除去)

治療前

Before

治療後

After

年齢 30代
性別 男性
主訴 ステインとは、歯の表面にできる着色の事です。
お茶やコーヒーに含まれる色素や、たばこのヤニに含まれます。
放置すると歯に固着してしまいますので、定期的にクリーニングすることをオススメ致します♪

銀歯の下の虫歯

治療前

Before

治療後

After

年齢
性別
主訴 銀歯の寿命は、だいたい5年と言われております。 被せ物の下は虫歯になっている可能性がありますので、レントゲンで確認することが大切になってきます。

歯石除去4

治療前

Before

治療後

After

年齢 50代
性別 男性
主訴 歯石がついていると歯肉炎や歯周病の原因となり、歯茎も腫れやすくなります。 そちらを除去するために歯石除去でお掃除を行います。

虫歯治療5

治療前

Before

治療後

After

年齢
性別
主訴 一部分が銀歯で覆われていたものを、CRという保険の白い詰め物で治した
ご予約 ➝ RESERVATION お電話 ➝ TEL