茨城県取手市の総合歯科医院で美しい笑顔を

症例一覧

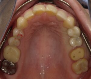
オールオン4

治療前

Before

治療後

After

年齢 60代
性別 女性
主訴 噛めるようにしたい

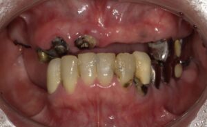
インプラント治療6

治療前

Before

治療後

After

年齢 40代
性別 女性
主訴 歯のない部分に歯を植えてほしい。

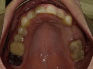
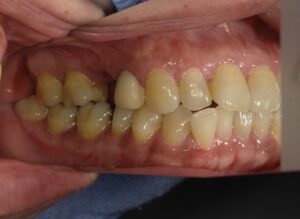
インプラント治療5

治療前

Before

治療後

After

年齢 40代
性別 女性
主訴

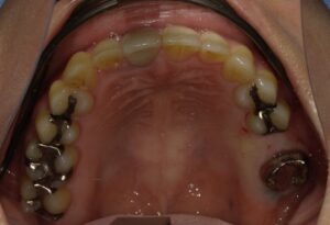
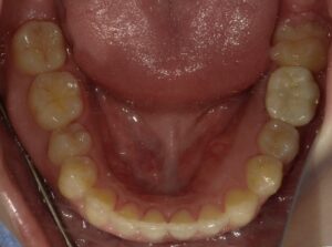
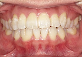
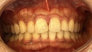
インビザライン5

治療前

Before

治療後

After

年齢 30代
性別 男性
主訴

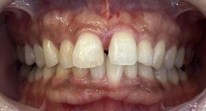
インビザライン4

治療前

Before

治療後

After

年齢 40代
性別 女性
主訴 歯並び、見た目が気になる。

インプラント治療4

治療前

Before

治療後

After

年齢 40代
性別 女性
主訴

インプラント治療3

治療前

Before

治療後

After

年齢 30代
性別 女性
主訴

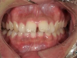
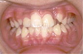
矯正 症例 前歯のワイヤー矯正2

治療前

Before

治療後

After

年齢 30歳
性別 女性
主訴 上前歯のみ部分的に治療したい

矯正 症例 前歯のワイヤー矯正

治療前

Before

治療後

After

年齢 30代
性別 女性
主訴 上前歯のみ部分的に治療したい

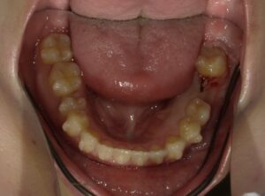
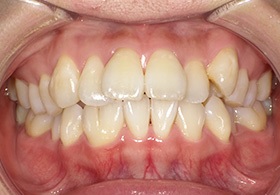
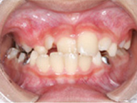
矯正 症例 ワイヤー矯正

治療前

Before

治療後

After

年齢 19歳
性別 男性
主訴 八重歯を治療したい
ご予約 ➝ RESERVATION お電話 ➝ TEL