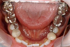
銀歯を白く
こんにちは取手市にあるワンズ歯科クリニックです(^_^)
銀歯を白くしたいというお問い合わせも
多数頂くことがあります☆
見た目はもちろん、セラミックのかぶせ物は
汚れが付着しにくいので、虫歯へのリスクも少なくなります。
保険適用外にはなりますが、将来的なことや審美的なことを
考えると、セラミックのかぶせ物をおススメ致します。
気になっている方がいらっしゃいましたら
ぜひ一度ご相談にいらしてください☆彡


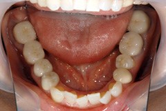
こんにちは取手市にあるワンズ歯科クリニックです(^_^)
銀歯を白くしたいというお問い合わせも
多数頂くことがあります☆
見た目はもちろん、セラミックのかぶせ物は
汚れが付着しにくいので、虫歯へのリスクも少なくなります。
保険適用外にはなりますが、将来的なことや審美的なことを
考えると、セラミックのかぶせ物をおススメ致します。
気になっている方がいらっしゃいましたら
ぜひ一度ご相談にいらしてください☆彡

