八重歯はマウスピース矯正で治る?メリットや治療期間も
こんにちは。茨城県取手市にある歯医者「One’s歯科クリニック」です。
「八重歯はマウスピース矯正でも治せるの?」と疑問を持っている患者さまもいるでしょう。八重歯はブラッシングの難易度を上げ、歯ぐきのトラブルリスクを高めることがあります。
マウスピース矯正では薄く透明な装置を用いるため、日常生活への影響を抑えつつ自然に歯並びを整えられます。
本記事では、八重歯の説明から、八重歯を放置することで起こりうるトラブル、マウスピース矯正のメリット・デメリット、治療期間や費用の目安までをまとめました。八重歯でお悩みの患者さまは、ぜひ最後までご覧ください。
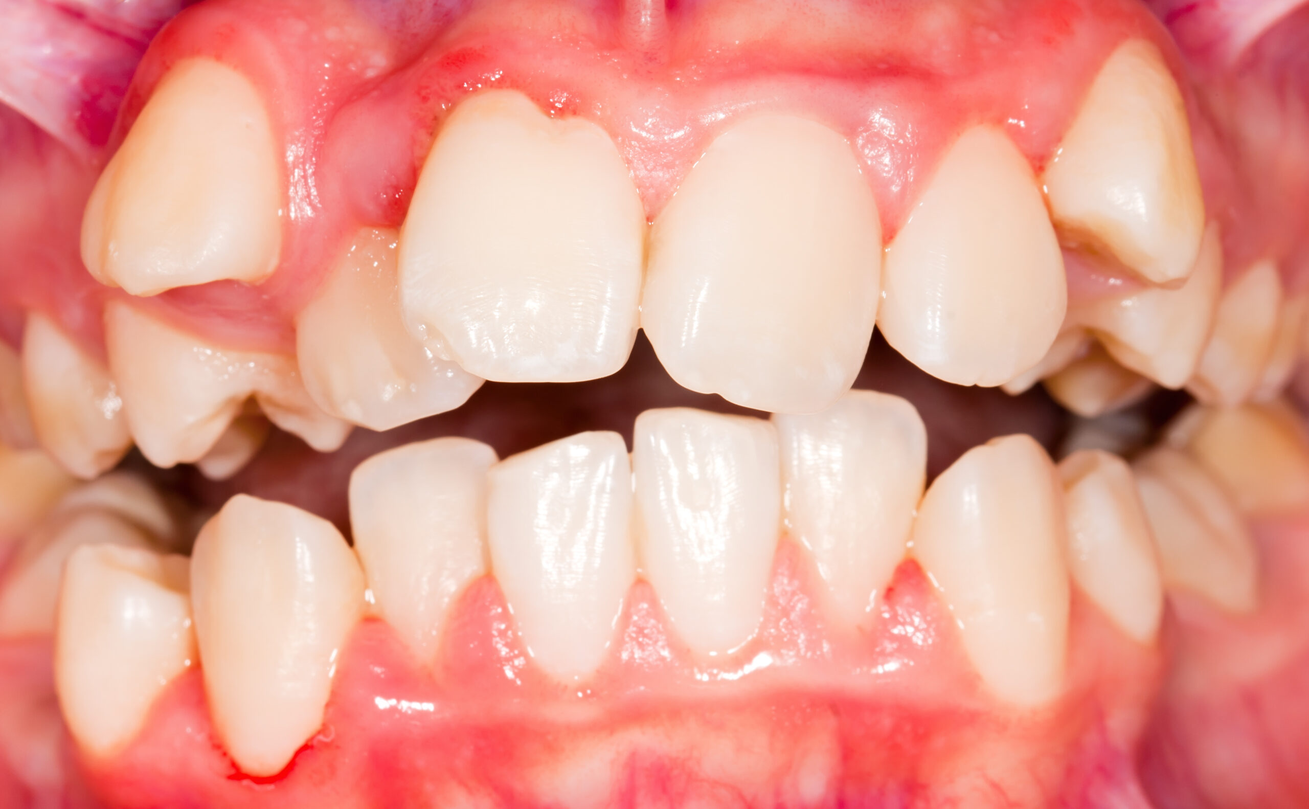
八重歯とは

八重歯は上顎で3番目に位置する犬歯が、隣接する歯列の流れから外れて斜めや外側に張り出す状態を指します。あごのスペース不足による叢生(そうせい)の一種で、歯列全体に不均一な力がかかりやすくなります。
八重歯になる原因
八重歯になる原因は、以下のとおりです。
あごのスペース不足
あごが小さめで、永久歯が並ぶスペースが足りなくなると歯列が乱れやすくなります。犬歯が正しい位置に収まらず、前方や外側へ押し出されることで八重歯が生じるのです。骨格の成長段階であごの幅が広がりにくいと、歯列が乱れることもあります。
歯のサイズ
歯が大きいと、顎のスペースに合わせきれずに歯列から逸脱することがあります。特に、犬歯はほかの歯よりも生える順番が遅いため、先に周りの歯が並んでしまうとスペースがなくなり、八重歯になりやすいです。
遺伝的影響
八重歯そのものが遺伝するわけではありませんが、あごの大きさや歯の大きさ、歯の生える方向などは親子で似る傾向があります。結果的に、八重歯が起きやすい骨格や歯列が受け継がれます。家族に同じ歯列不正がある場合は、早めに相談するとよいでしょう。
乳歯の脱落時期
乳歯が早く抜けると、隣接する歯が空いたスペースに移動しやすくなり、後から生えてくる永久歯のスペースが失われます。特に、犬歯が生える前に前歯が傾くと、八重歯につながるリスクが高まるため、乳歯の抜け替わり時期には定期的にチェックを受けましょう。
食習慣とあごの発育
柔らかい食べ物ばかりだと、咀嚼時の筋肉刺激が不足し、あごの骨が十分に発達しません。あごの幅が狭いまま成長すると歯列のスペース不足を招き、八重歯になる要因となりやすいです。
口呼吸の習慣
鼻呼吸ではなく口呼吸が常態化すると、舌が下がることで上あごのアーチが狭まりやすくなります。舌の位置が低いと上顎の成長が抑制され、犬歯が正常な位置に収まらず、八重歯として飛び出るケースが増えます。
長期のおしゃぶり・指しゃぶり
乳幼児期におしゃぶりや指しゃぶりを長く続けると、唇やほおの筋力バランスが崩れ、あごの骨格成長に影響を与えます。その結果、犬歯の生えるスペースが不均一になり、八重歯として歯列から突出する場合があります。
過剰歯の存在
過剰歯(余分に生える歯)があると、歯列全体のスペースがさらに狭まります。過剰歯はレントゲン検査で発見されることが多く、早期に抜歯することで犬歯が適切な位置に誘導され、八重歯の予防につながります。
八重歯を放置することで起こりうる問題
八重歯を放置することで起こりうる問題は、以下のとおりです。
ブラッシングがしにくい
歯列の中で八重歯が前方に飛び出すと、ブラッシングの際に歯ブラシが歯の隙間や裏側に届きにくくなります。その結果、歯垢や食べかすがたまりやすくなり、日常では落としにくいバイオフィルムが形成されます。
磨き残しが続くと口臭だけでなく、歯ぐきの炎症も誘発しやすくなるため、注意が必要です。
口腔疾患リスクの上昇
八重歯の周囲はプラークが溜まりやすいため、虫歯や歯周病の発症率が高まります。特に、重なり合った部分はレントゲン検査でも病変の早期発見が難しく、症状が悪化してから気づくケースが少なくありません。
気づかないうちに徐々に歯肉退縮や歯槽骨の吸収が進むと、歯を支える組織が弱くなり、抜歯リスクが増大するため注意が必要です。
咀嚼と発音への支障
八重歯が正常な咬合位置から外れていると、上下の歯が均等に噛み合わず、食べ物をかみ砕く力が偏ります。その結果、咀嚼効率が落ちるだけでなく、発音時に舌や唇が適切に動かせずサ行やタ行が不明瞭になることがあります。
心理的ストレス
八重歯が目立つことで口元に対する意識が高まり、人前で笑顔を控えるようになる方もいます。日本ではチャームポイントとされることもあるものの、歯列の乱れが理由で自己肯定感が下がるケースが少なくありません。
八重歯はマウスピース矯正で治る?

結論から申し上げますと、軽度から中程度の八重歯であれば、マウスピース矯正で歯並びを整えられることがあります。
ただし、極端に歯が重なっている場合や顎のスペース不足が著しいケースでは、ワイヤー矯正や抜歯などを併用することがあります。まずは歯科クリニックでレントゲンや3Dスキャンによる詳しい診断を受け、ご自身に合った治療計画を立てることが大切です。
マウスピース矯正のメリット
マウスピース矯正をするメリットは、以下のとおりです。
装置がほとんど目立たない
透明なマウスピースは歯列にフィットするため、装着中でも周囲の視線を集めにくい点が大きな特徴です。写真撮影や会話の際にも目立たず、日常生活でも自信を失わずに過ごせるでしょう。職場や学校で矯正中であることを知られたくない方にも選ばれています。
取り外しが自在で清掃がしやすい
マウスピースは飲食やブラッシング時に簡単に外せるため、食べ物の制限がほぼありません。歯面や装置を隅々まで清潔に保てるため、プラークや歯石が付着しにくく、口内トラブルの予防につながります。
金属アレルギーの心配がない
金属製のワイヤーやブラケットを使用せず、プラスチック素材だけで矯正を行うため、金属アレルギーを持つ患者さまでも安心して治療を受けられます。
痛みや違和感が少ない
アライナーは歯にかかる力を段階的に調整するよう設計されており、従来のワイヤー矯正よりも歯が動く際の痛みや装置による口内の傷つきが抑えられます。治療開始直後の違和感も短期間で収まりやすいため、ストレスなく継続しやすい点がメリットです。
通院回数が抑えられる
マウスピース矯正では、複数枚のマウスピースをまとめて受け取り、数週間ごとに自宅で交換します。そのため、歯科クリニックへの通院は2~3か月に1回程度で済みます。仕事や学校が忙しい方も、予定を調整しやすく継続しやすい治療方法といえるでしょう。
ただし、患者さまの状態や矯正を始めたばかりのときには1か月に1回程度の通院が必要なこともあります。
治療シミュレーションで完成形を確認できる
事前に3Dスキャンを用いたシミュレーションで、矯正完了時の歯並びを視覚的に確認できます。治療計画の進行が見えるため、患者さまの不安が軽減され、納得感の高い矯正を進められるのが魅力のひとつです。
マウスピース矯正のデメリット
マウスピース矯正をするときのデメリットは、以下のとおりです。
自己管理が必須
マウスピースは患者さまご自身で装着・交換を行うため、指示された1日20~22時間の装着時間を守る必要があります。装着時間が不足すると計画通りに歯が動かず、治療期間が延びるおそれがあります。
加えて、交換スケジュールに遅れがあると歯列移動のリズムが崩れるため、注意が必要です。
紛失・破損のリスク
食事やブラッシング時には取り外すことになっているため、保管方法に注意を払わないとケース外での紛失や落下による破損が起こりやすくなります。紛失・破損した場合はマウスピースを再作製しなければならず、費用や通院回数の追加が発生する可能性があります。
適応症例の制限がある
軽度から中等度の八重歯には対応可能とされています。
しかし、重度の上下顎前突や大きな歯の回転、抜歯を伴うスペースコントロールが必要なケースでは十分な効果が見込めないことがあります。その場合はワイヤー矯正や外科的処置を併用し、より確実な歯の移動を図らなければならないかもしれません。
マウスピース矯正で八重歯を治す場合の期間・費用の目安
マウスピース矯正で八重歯を治す場合の期間・費用の目安は、以下のとおりです。
費用の目安
マウスピース矯正の費用は、八重歯のみを対象とする部分矯正と歯列全体を整える全体矯正で大きく異なります。部分矯正ならマウスピースの枚数が少なく済むため、20万円から50万円程度が相場です。
一方で、全体矯正では動かす歯の本数が増え、60万円~120万円ほどが目安です。さらに、CT撮影や3Dスキャン、追加の調整費、保定装置(リテーナー)代などが別途必要になることもあるため、事前に見積もりを詳しく確認しましょう。
治療期間の目安
八重歯の程度や患者さまの協力度合いによって、治療期間は変動します。部分矯正で軽度の八重歯を治療する場合、半年~1年ほどの期間がかかります。全体矯正では歯列全体のかみ合わせを整えるため、1年~2年ほどを要することが一般的です。
重度の八重歯では3年ほどかかるケースもありますので、事前にしっかりとカウンセリングを受けるようにしましょう。
まとめ

八重歯はマウスピース矯正で軽度~中等度なら目立たず整えられるケースが多いです。透明で着脱可能な装置は、食事の制限が少なく、金属アレルギーの心配もありません。
メリットとしては装置の目立ちにくさや通院回数の少なさがあり、デメリットとして自己管理の徹底や紛失リスク、適応症例の制限が挙げられます。
3Dシミュレーションで治療後の歯並びを確認でき、治療期間は、部分矯正で半年~1年、全体矯正では1年~3年ほどが目安です。歯科クリニックでカウンセリングを受けて、患者さまの希望に合わせた治療計画を立てましょう。
マウスピース矯正を検討されている方は、茨城県取手市にある歯医者「One’s歯科クリニック」にお気軽にご相談ください。
当院は、気軽に通える歯医者を目指して虫歯・歯周病治療や小児歯科、ホワイトニング、入れ歯治療、インプラントなどを行っています。ホームページはこちら、 Web診療予約も受け付けておりますので、ぜひご覧ください。

050-1809-4686