一般歯科・虫歯治療
その「少しの違和感」を見過ごさないでください
こんな症状はありませんか?
- 「冷たいものが少ししみる気がする」
- 「歯に小さな黒い点があるような…」
- 「痛いというほどではないけれど何かおかしい」
お口の中にふと現れるこうした小さな変化。
忙しい毎日の中では「気のせいだろう」「もう少し様子を見よう」とつい見過ごしてしまいがちです。
歯科医院へ行くことへの漠然とした不安やためらいがあるのかもしれません。
ですがその少しの違和感こそあなたの天然歯が送るとても大切なサインなのです。
私たちの理念

私たち医療法人社団優勢会は開院以来ずっと一つの大きな理念を掲げてまいりました。
それは「かけがえのない天然歯を一本でも多く一日でも永く残すこと」です。
歯は一度削ってしまえば決して元には戻りません。
だからこそ私たちはあなたの歯からの小さなSOSに誰よりも早く気づいてほしいと願っています。
虫歯の正体とその静かな足音
なぜ虫歯はできるのでしょうか
虫歯は単に「歯に穴があく病気」ではありません。
お口の中という複雑な環境で起こる細菌による感染症です。
ごく簡単に言えばお口の中で三つの条件が揃った時に虫歯は生まれます。
虫歯発生の3つの条件
- 虫歯菌(ミュータンス菌など)の存在
- その菌の栄養源となる「糖分」
- 菌の攻撃を受ける「歯の質」そのもの
虫歯発生のメカニズム
私たちが食事をすると、お口の中に残った糖分を栄養にして虫歯菌が活発に動き始めます。
そして歯の表面を溶かしてしまう「酸」を作り出すのです。
この「酸」によって歯の表面の硬いエナメル質からカルシウムなどのミネラル成分が溶け出していく現象。
これを「脱灰(だっかい)」と呼びます。
この脱灰こそが虫歯の本当の始まりなのです。
「痛くない」からこそ注意が必要です
私たちの歯の一番外側を覆うエナメル質には痛みを感じる神経が通っていません。
そのため虫歯がエナメル質の内部に留まっている初期の段階では痛みなどの自覚症状はほとんど現れないのです。
これが虫歯の発見を遅らせてしまう、とても厄介な特徴です。
「痛くないからまだ大丈夫」ではないのです。
「痛くない」うちに気づき対処することこそが、あなたの歯を大きく削ることなく守るための最大の鍵となります。
「しみる」「痛い」といった症状を感じ始めた時は、虫歯がすでにエナメル質の内部にある象牙質まで進行している証拠なのです。
虫歯の進行と私たちの向き合い方
虫歯はその進行度によっていくつかの段階に分けられます。
段階が早ければ早いほど歯への負担が少ない治療で回復させることが可能です。

| 段階 | 状態 | 症状 | 治療法 |
| C0 | 歯の表面が白く濁る | 自覚症状なし | 削らない治療(フッ素塗布など) |
| C1 | エナメル質に小さな穴 | 自覚症状なし | 最小限の削除+レジン充填 |
| C2 | 象牙質まで進行 | しみる・甘いもので痛い | 詰め物(インレー) |
| C3 | 神経まで達する | 激しい痛み | 根管治療 |
| C4 | 歯冠がほとんど崩壊 | 痛みが消える | 抜歯または高度な根管治療 |
C0:削らない治療という選択肢
歯の表面が白く濁って見えるごく初期の虫歯です。
まだ穴はあいておらず「脱灰」が始まった状態と言えます。
この段階であれば歯を削る必要はありません。
C0段階での治療アプローチ
- 毎日の丁寧なブラッシングを徹底
- 歯科医院での専門的なクリーニング
- 歯の質を強くするフッ素塗布
- 再石灰化の促進
私たちの唾液には酸によって溶け出したミネラルを再び歯の表面に戻してくれる「再石灰化」という素晴らしい力があります。
この段階ではその歯が持つ治癒力を最大限に引き出すためのサポートを行います。
C1:最小限の介入で進行を食い止める
虫歯がエナメル質の内部にまで進み小さな穴があいてしまった状態です。
この段階でもまだ痛みを感じることはほとんどありません。
しかし残念ながらここまで進行すると自然に治ることは期待できません。
治療法
虫歯に侵された部分だけを必要最小限だけ削り取りレジンと呼ばれる歯科用のプラスチックを詰めて修復します。
健康な部分を極力残し歯へのダメージを最小限に食い止めることがこの段階での私たちの使命です。
C2:歯がSOSを出し始める段階
虫歯がエナメル質の下にある象牙質にまで達した状態です。
象牙質には神経に繋がる無数の細い管が通っているため「冷たいものがしみる」「甘いものを食べると痛い」といった症状が出始めます。
症状
あなたの歯がはっきりとSOSを出し始めたサイン
治療法
虫歯の部分を削り取り歯の型を採って詰め物(インレー)を作製して装着
詰め物の選択肢
- 保険適用の金属のもの
- 審美性と機能性に優れたセラミックのもの
C3:歯を残すための正念場
虫歯が歯の中心部にある歯髄(しずい)いわゆる歯の神経にまで達してしまった状態です。
症状
何もしなくてもズキズキと激しく痛み夜も眠れないほどのつらい症状
治療法
ここまで進行すると虫歯菌に汚染されてしまった神経を取り除く「根管治療(こんかんちりょう)」が必要になります。
大変な治療に思えるかもしれませんがこの根管治療こそ激しい痛みを取り除きそして「抜歯」という最悪の事態を避けて大切な歯を残すための希望の光となる治療なのです。
C4:最後の砦、それでも諦めない
歯の見える部分(歯冠)がほとんど溶けてなくなり歯の根だけが残った状態です。
歯の神経が完全に死んでしまうと、あれほどつらかった激しい痛みは嘘のように消えてしまいます。
しかしこれは治ったわけでは決してありません。
歯の根の先で細菌が繁殖し膿の袋を作っていることが多く、ある日突然再び激しい痛みや顔の腫れとなって現れることがあります。
ここまで進行すると残念ながら抜歯を選択せざるを得ないケースも増えてきます。
ですが私たちは最後の最後まで歯を残す可能性を探求します。
抜歯後の選択肢
- インプラント
- 入れ歯
- ブリッジ
私たちの治療哲学「歯の命を諦めない」

虫歯治療において私たちが何よりも大切にしている哲学。
それは歯の命すなわち「天然の歯質」を1ミクロンでも多く1日でも永く守り抜くということです。
そのために私たちは見えない部分にこそ徹底的にこだわります。
るだけ「削らない」ために
歯を削るという行為は私たち歯科医師にとって非常に慎重さが求められるものです。
なぜなら一度削れば二度と元には戻らないからです。
精密な診断のための取り組み
- う蝕検知液の使用
虫歯菌に感染した部分だけを染め出し削るべき範囲を最小限に特定 - 勘や経験だけに頼らない診断
客観的なデータに基づく正確な判断 - 最小限の削除
「念のために少し大きく削っておこう」という考え方は一切なし
歯の命を不必要に奪うことは決してしない。
それが私たちの患者様に対する誠意です。
できるだけ「神経を抜かない」ために
歯の神経(歯髄)は歯に栄養を届け、温度や痛みを感じるいわば歯の生命線です。
神経を抜いた歯は栄養が行き渡らなくなり枯れ木のように脆くなってしまいます。
その結果将来的に歯が割れてしまうリスクが高まり、歯の寿命そのものを縮めてしまうことにも繋がりかねません。
神経保存への取り組み
- MTAセメントの使用
特殊な薬剤で露出した神経を保護 - 覆髄法(ふくずいほう)
歯が持つ本来の治癒力を引き出す専門的な治療 - 最後まで諦めない姿勢
安易に神経を抜く選択はしない
歯の神経を守ることは歯の未来を守ること。
私たちはその可能性を最後の最後
歯を残すための最後の砦「精密根管治療」
歯の神経を抜かざるを得ないほど進行した虫歯でも歯そのものを残すための最後の希望が「根管治療」です。
歯の内部にある「根管」という髪の毛のように細く複雑な管の中から汚染された神経や細菌を完全に取り除き清掃・消毒する非常に繊細で根気のいる治療です。

根管治療の重要性
- この治療の成否がその歯の未来を決定
- 根管の中にわずかでも細菌が残れば数年後に再発
- 再治療になればなるほど成功率は低下
- 最初の根管治療の「質」が極めて重要
細菌の侵入を許さない「ラバーダム防湿」
根管治療中に唾液に含まれる細菌が綺麗にしているはずの根管の中に侵入してしまっては元も子もありません。

ラバーダム防湿の効果
- 治療する歯だけを隔離する「ラバーダム」というゴムのシートを使用
- 清潔な環境を確保
- 無菌的な処置を徹底
- 治療の成功率を向上
この地道な一手間を惜しまないこと。
それが治療の成功率を高めるための非常に重要な鍵となるのです。
根管治療は時に複数回の通院が必要となります。
それは複雑な根管の隅々まで丁寧に確実に清掃・消毒を行っている証です。
あなたの歯を未来に残すための大切な時間だとご理解いただければ幸いです。
治療の先にある輝く未来のために
虫歯治療は歯を削り詰め物や被せ物を入れたら終わりではありません。
むしろそこからがあなたの歯の本当の未来を決める新たな始まりなのです。
詰め物・被せ物という「第二の歯」へのこだわり

虫歯によって失われた部分を補う詰め物や被せ物。
これらはいわばあなたの「第二の歯」とも言える大切な存在です。
どのような材料を選ぶかによってその後の見た目の美しさやお口の健康、そして虫歯の再発しやすさまで大きく変わってきます。
| 材料 | 特徴 | メリット | デメリット |
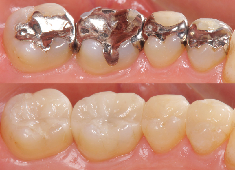
| 銀歯(保険診療) | 金属製の詰め物 ・被せ物 | ・機能回復に優れる ・費用負担が少ない | ・お口の中で目立つ ・金属アレルギーの原因 ・二次カリエスのリスク |
| セラミック(自費診療) | 陶材を使用した詰め物 ・被せ物 | ・天然歯と見分けがつかない美しさ ・表面が滑らかで汚れにくい ・歯と精密に接着 ・二次カリエスのリスク低減 | ・費用が高い ・割れる可能性 |
保険診療で使われる銀歯は機能回復という点では優れていますが、お口の中で目立ってしまったり金属アレルギーの原因になったり、歯との間にわずかな隙間ができてそこから再び虫歯になってしまう(二次カリエス)リスクがあることも事実です。
一方自費診療で用いられるセラミックなどの材料は、天然の歯と見分けがつかないほどの自然な美しさを再現できるだけではありません。
表面が滑らかで汚れがつきにくく、歯と精密に接着するため二次カリエスのリスクを大幅に低減させることができます。
これは単なる贅沢ではなくあなたの歯の未来を守るための非常に賢明な「投資」であると私たちは考えています。
私たちはそれぞれの材料の長所と短所を包み隠さずお話しあなたご自身の価値観に合った選択ができるよう全力でサポートします。
二度と虫歯で苦しまないために
治療を終えた患者様から、私たちはよく「もう二度とこんな思いはしたくない」という言葉を伺います。
そのお気持ちに私たちは心から共感します。
そしてその想いを実現するための道筋をお示しするのが私たちの最も大切な役割です。
再発のリスク要因
- 虫歯は一度治療した歯こそ再発しやすい
- 詰め物や被せ物とご自身の歯との境目に汚れが溜まりやすい
- わずかな段差ができてしまう構造的な問題
予防の両輪
そのリスクをコントロールするために不可欠なのがご自宅でのセルフケアと歯科医院でのプロフェッショナルケアこの両輪です。
プロフェッショナルケア(PMTC)

- 歯科衛生士が専門の器具を用いて実施
- 毎日の歯磨きでは決して落とすことのできない細菌の巣である「バイオフィルム」を徹底的に破壊・除去
- あなたのお口の状態や歯並びに合わせた最適なブラッシング方法を指導
予防の重要性
- 治療よりも予防のほうがずっと大切
- 患者様にとってはるかに快適で負担の少ない
- お口のどんな小さな変化も見逃さない定期チェック
私たちにご相談ください。
私たちはいつでもあなたの歯とあなたの笑顔の一番の味方です。

050-1809-4686